ΑΠΛΗ ΘΕΡΑΠΕΙΑ ΕΣΩΤΕΡΙΚΩΝ ΑΙΜΟΡΡΟΪΔΩΝ ΣΕ 10 MIN

Η τοποθέτηση ελαστικών δακτυλίων (περίδεση αιμοροίδων) στους αιμορροϊδικούς όζους (Barron band ligation) αποτελεί μία πολύ αποτελεσματική, σύντομη και ανώδυνη μέθοδο αντιμετώπισης των αιμορροΐδων. Αυτή αφορά αιμορροΐδες που δεν προπίπτουν μόνιμα έξω από τον πρωκτό (κατάταξη).
Η μέθοδος αυτή στο ιατρείο μας έχει άριστα αποτελέσματα.
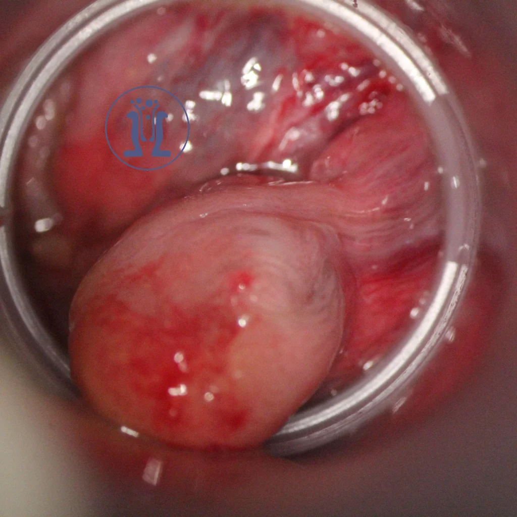
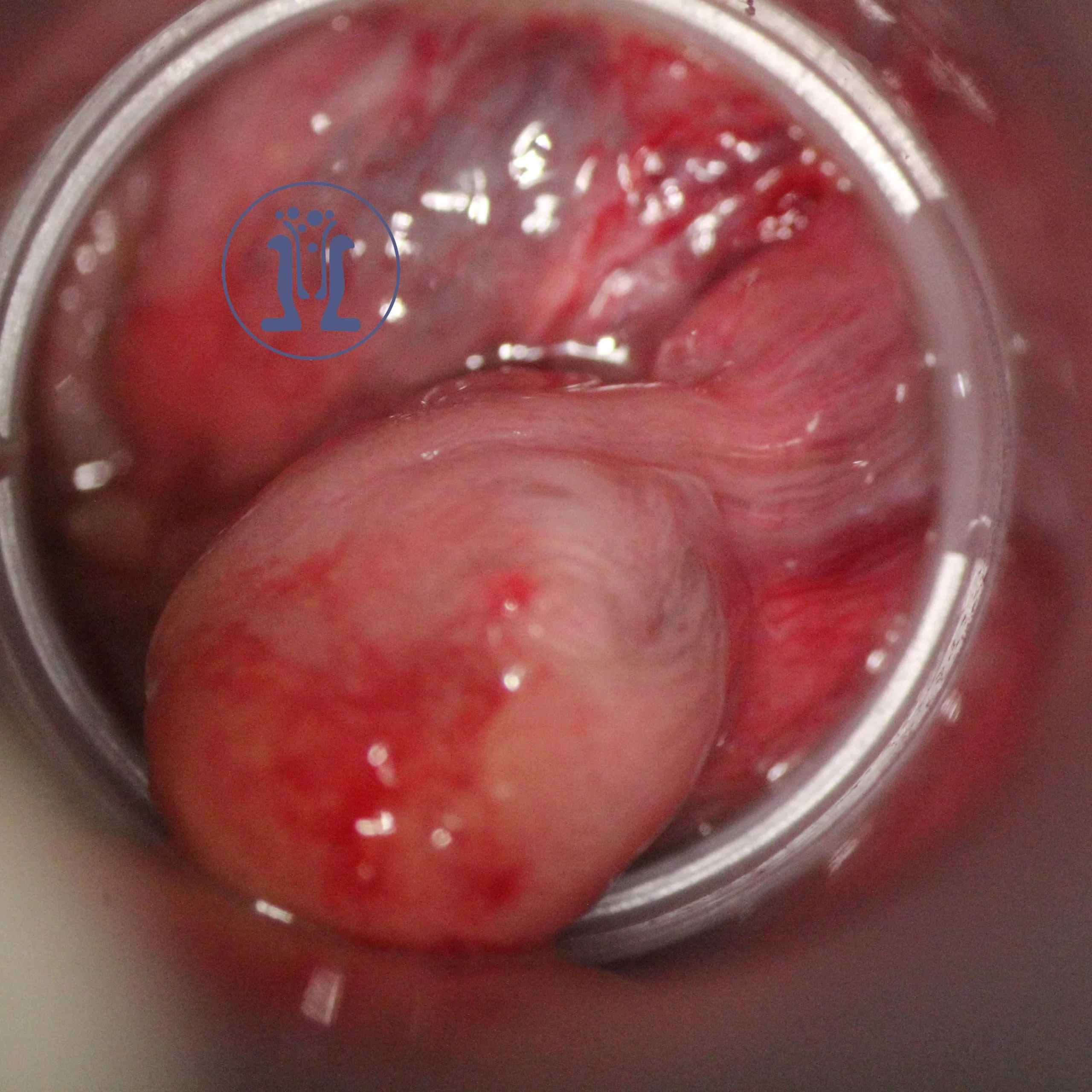
Τεχνική της περίδεσης αιμορροΐδων.
Η θεραπεία αυτή εφαρμόζεται στο ιατρείο χωρίς καμία αναισθησία και είναι ανώδυνη. Οι ελαστικοί δακτύλιοι τοποθετούνται διαμέσου ενός πρωκτοσκοπίου στην βάση των αιμορροΐδων. Στο σημείο αυτό δεν υπάρχουν νευρικές απολήξεις και η μέθοδος δεν πονάει. Οι αιμορροΐδες ατροφούν περίπου σε μία εβδομάδα. Η ίνωση που δημιουργείται από την πληγή συγκρατεί τις αιμορροΐδες και εμποδίζει την πρόπτωση τους έξω από τον αυλό του πρωκτού. Συνήθως, τοποθετούνται δακτύλιοι σε δύο αιμορροϊδικούς όζους. Οι δακτύλιοι αποπίπτουν σε λίγες μέρες.
Στις υπόλοιπες αιμορροΐδες (μία ή δύο), η περίδεση επαναλαμβάνεται μετά από τρεις εβδομάδες. Μετά την τοποθέτηση των δακτυλίων στις αιμορροΐδες ο ασθενής δεν έχει σημαντικά ενοχλήματα. Μπορεί να υπάρχει μια αίσθηση προς αφόδευση ή πόνος για λίγες ημέρες. Ο ήπιος πόνος αντιμετωπίζεται με χλιαρά λουτρά και αναλγητικά τύπου Depon ή Ponstan. Εμφανίζεται μικρή και παροδική αιμορραγία 4-7 ημέρες μετά την τοποθέτηση λόγω πτώσης των δακτυλίων από τις αιμορροΐδες. Η αιμορραγία αυτή θεραπεύεται μόνη της.
Απλή, μη χειρουργική θεραπεία για τις αιμορροΐδες. Υπάρχει;
Εάν δεν είναι πολύ μεγάλες, οι αιμορροΐδες μπορούν να θεραπευτούν με απλή περίδεση. Αυτή γίνεται στο ιατρείο, μέσα σε 10 λεπτά, με απλό τρόπο και χωρίς νάρκωση.
Οδηγίες Αμερικανικού Κολλεγίου Χειρουργών
Αποτελέσματα της περίδεσης των αιμορροΐδων
Τα μακροχρόνια αποτελέσματα είναι πολύ ικανοποιητικά (βιβλιογραφία) και συχνά εξαιρετικά. Τα αποτελέσματα της χειρουργικής θεραπείας είναι καλύτερα, αλλά η χειρουργική επέμβαση για την αντιμετώπιση των αιμορροΐδων είναι επιθετική μέθοδος, απαιτεί μακρύτερη αποθεραπεία και παρουσιάζει μεγαλύτερο κίνδυνο επιπλοκών.











