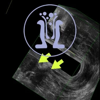
Ασθενής, 64 ετών, με ιστορικό παροχέτευσης περιεδρικού αποστήματος προ 2 εβδομάδες. Ο ασθενής ανέφερε επίσης έναρξη δυσκοιλιότητας και παρουσία αίματος στα κόπρανα από 3 μήνου. Το ενδοπρωκτικό υπερηχογράφημα έδειξε, από το δέρμα μέχρι τα στα 5-46 mm πάνω από το άνω όριο των σφιγκτήρων, διηθητική χωροκατακτητική εξεργασία πάχους 21 mm. Επιπροσθέτως, αυτή επεκτείνεται σαφώς στο περιορθικό λίπος και στο επίπεδο του πρωκτού διηθεί τον έξω σφιγκτήρα. Κάτω και στην 1η ώρα του πρωκτού ανευρέθηκε παροχετευμένο περιεδρικό απόστημα στο υπόβαθρο της διηθητικής επεξεργασίας. Συνεστήθη λήψη βιοψιών της εξεργασίας και κατόπιν ογκολογική συνεκτίμηση προ του χειρουργείου.





