Ασθενής με ιστορικό πολλαπλών επεμβάσεων σε διάτημα 25 ετών. Ειχε επανεξετασθεί πριν 7 χρόνια. Οι επεμβάσεις εχουν προκαλέσει τραυματισμούς στους σφιγκτήρες. προσερχεται με απόστημα στην 1η ώρα. Το πρωκτικό στόμιο ανευρίσκεται μακρυιά, στην 6η ώρα και βαθιά. απαιτειται μεγάλη προσοχή και εξειδικευμένη επέμβσαη για να μην προκληθεί ακράτεια κοπράνων.



Ασθενής πριν δυο μήνες χειρουργήθηκε για ραγάδα δακτυλίου. από άλλο συνάδελφο. Κατά την διάρκεια της επέμβασης (πλαγία σφιγκτηροτομή) ανευρέθηκε σκληρία στον πρωκτό. Παραπεμπεται στο ιατρείο για διασάφηση της κατάστασης του. Ανευρέθηκε ενα βαθύ συριγγιο, χωρις παροχέτευση στο δέρμα και με πρωκτικό στόμιο στην 6η ώρα βαθιά.


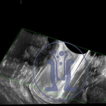
Ασθενής, πάνω από 70 ετών παραπέμπεται από άλλο συνάδελφο για χαρτογράφηση. Στο ιστορικό τυ αναφέρει απόστημα στο δεξιό γλουτό προ 20ετίας και πρόσφατα φλεγμονή και παροχέτευση αποστήμαατος στον αριστερό γλουτό. Στην δική μας εξέταση ανευρέθηκε επιπλέον δερματικό στόμιο στην 6η ώρα που ειχε ξεφύγει από την προσοχή. Στην διερεύνηση ανευρέθηκε βαθύ συρίγγιο με πρωκτικό στόμιο στην 6η ώρα.




